Smile Gallery

Shayla

    Shayla had the gap between her front teeth closed by another dentist which resulted in the unequal size of the teeth and uneven smile. She decided to get a more viable treatment. Whitening and porcelain veneers were done on her 6 front teeth. She was very excited about this treatment option; since it is very conservative and involves minimal removal of tooth enamel. It is done by boding a thin layer of porcelain on the outer surface of the tooth.
    Before
    After

    Tawana

      Tawana has not had dental care for a long time which caused her multiple cavities and severe gum disease. We were able to save numerous teeth and removed the rest and made her false teeth. She was certainly happy with her new smile.
      Before
      After

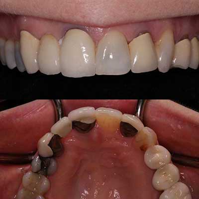
      Nancy

        Nancy was told by her granddaughter that she has ugly teeth. This made her start thinking of a fundamental treatment for her teeth. She had multiple crowns on the front teeth with a metal substructure. The colors did not match and the dark shadow from the metal was visible at the gum line. It was decided to remake the crown and bridges for her in a different material with a brighter color. The new crowns are made of Zirconia which does not contain any metal and at the same time is very esthetic and strong.
        Before
        After

        Reza

          Reza had some his molars extracted years ago and had to chew food more on the front teeth which caused excessive wear on those teeth. Ideally, he needed crowns on those front teeth. But he decided to go with a more economical solution which was also more conservative in terms of preserving the existing tooth structure. The teeth were made bigger by bonding tooth-colored restorative material to them in a single appointment. A removable prosthesis was also fabricated to enable him to chew on the back teeth.
          Before
          After

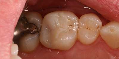
          Fractured Molar

            Decayed and fractured molar tooth is repaired by porcelain onlay rather than regular resin restoration. The result is significantly stronger and more durable.
            Before
            After